Currently viewing the tag: "Presence"

Palm Desert MeditationIn the last post, I discussed the neurological basis of quieting the mind, along with some physical, mental, and spiritual benefits of taking on a regular practice. In this post, I would like to continue the conversation by discussing a few of the more common obstacles to quieting the mind, as well as some tips on overcoming them. And finally, I will share a simple exercise that you can use to kickstart your mind-quieting endeavors.

Common Obstacles to Quieting the Mind

Anybody who has ever tried to quiet the mind through mindfulness or meditation has invariably had the experience of becoming distracted. This is because, in its efficiency, the neurological mind has many automatic processes leading to an influx of sensations, thoughts, and emotions. It allows us to operate as complex beings without tying up our focused attention by moment-to-moment neural activity. Only through trying to quiet the mind does the practitioner become aware of how little control he or she has over the myriad of inputs flowing into consciousness. Despite the utility of this automatic mental activity, the flood of mental chatter that results can severely challenge a mind that is trying to obtain silence.

The mind wants to be in control – the more automatic its processes, the more it can focus on higher-minded activities, like socializing, theorizing, or creating. When the conscious mind (that which you are in control of) attempts to focus completely, at the expense of the influx of thoughts, the unconscious mind (that which you are not in control of) will create diversions to pull the conscious mind out of focus. It does so to resume the incoming thoughts and go back on autopilot.

The three primary distractions of the mind come from its focus on sensations, thoughts, and feelings. All three are ubiquitous and constant – experienced by all consciously aware people (albeit not always consciously). It is these distractors that we try to transcend during mindfulness or meditation. The first step is becoming aware of them, of how these distractors operate; and only then can we label and release them.

Three Primary Distractors of Mind

Sensations

Palm Desert Vibrational HealingThe first primary distractor of the mind comes from somatic or body sensations. Any stimulus picked up by the receptors of the somatosensory system would constitute a sensation. The four types of sensation are superficial, deep, visceral, and special. Superficial sensations include things like touch, temperature, pain, and two-point discrimination. Deep sensations include things like muscle and joint position, muscle force and effort, deep muscle pain, and vibration. Visceral sensations are related to the autonomic nervous system (ANS) and are things like hunger, nausea, and visceral pain (chest pain, stomach pain, etc.). Special sensations are what we call the five senses of audio, visual, olfaction (smell), touch, and taste. Equilibrium is also a special sense related to the inner ear and cerebellum.

The sensory system picks up information from both the outer world and the inner being. It is a 24-hour job. Even as you sleep the nervous system senses and evaluates your lying position, the firmness of the bed, the softness of your pillow; it will make you aware of the room temperature, whether it is too hot or too cold. And it will awaken you if your bladder is full.

Since the somatosensory system is on at all times, taking in information from the internal and external environments, it is the first system to cause distractions when trying to quiet the mind. An itch on your nose, a pain in your buttock, the feel of your braces as they hug your teeth – any physical sensations come to the forefront when trying to quiet the mind. You become acutely aware of your varied sensations as you dive deeper into the practice of silence. Intentionally tuning in to your body sensations is a powerful exercise in its own right, one I walk my students through regularly. But when we desire to quiet the mind for meditation, we must shut down the senses and withdraw from the outer world.

The senses form the bridge between the inner and outer worlds. It is how we stay connected to the “reality” of material existence. But when it is time to turn inward, we can only do so by raising this bridge and shutting down the senses. In yoga, the process is known as pratyahara. The idea with pratyahara is that, until you dissolve all bridges to the external world, you will never go deep enough for Samadhi to take place. Pratyahara is specifically removing the awareness of sight, smell, sound, taste, and touch. While the sensations are still there, the mind has stopped attuning to them.

Thoughts

The next common distractor of the mind is the mind itself and its incessant production of thoughts. As I have already pointed out, the efficiency of the human mind has evolved to place many functions on autopilot – not only our physiology, but also our thoughts, ideas, visions, and self-talk. Even music we have recently listened to can enter a loop and replay repeatedly in our heads.

Palm Desert DaydreamingThere is an enormous propensity of the mind to create stories – real or fantasy – which can be so engaging that our mind gets carried away with its ruminations. This can lead to what we call daydreaming – or getting caught up in the progression of a tale. Daydreaming is a conditioned habit, with some people being more susceptible than others, but the more one does, the stronger the activity becomes. Daydreams usually stem from real-world events or sensory stimuli (noise, smell, conversation topic, or movie). These stories can be intense, vivid, pleasant, or unpleasant, and may come with characters, settings, and plotlines. Regardless of one’s susceptibility, every person has this aspect of their mind. It comes from the same source as imagination, so it is important to creativity and innovation, but also extremely disruptive when left to its own accord. It is not only a major challenge in the day-to-day conscious waking state, but especially when trying to quiet the mind.

The way to prevent this distraction from carrying your mind away during silence is to note when a story is happening, label it (“There is a story”), and allow it to fade away instead of following it down its unraveling path. We tend to follow a story unconsciously, almost as if passive witnesses to it, and watch it like a movie (not a bad perspective to develop, just in the wrong scenario or circumstance). Instead, when we consciously become aware that a story is unraveling, we can snap out of it by labeling the story (“There is…), which gives the conscious mind a concrete element to recognize and thus dismiss. Without awakening to the story’s unraveling and calling it for what it is, it is allowed to continue, remaining unconscious to the mind and allowing the passive component (daydreaming) to persist.

The goal is not to remove thoughts completely, as that would be impossible, but instead to allow the thoughts to happen without being carried away by them. An influx of thoughts will always be present, but the more experience one has in quieting the mind, the more one will be able to focus despite the neural/mental activity happening in the background. The best analogy I can use is of a computer that is on and executing functions; programs run in the background – virus scan, firewall, operating programs, and so forth – but the user is not following them or observing their operation. The user is simply employing the system for its intended use, while the programs operate unnoticed in the background. This is how the conscious mind should respond to mind chatter: give no attention; simply focus on an object or release all focus altogether, and just allow the mind to float within pure presence, beyond any sensation, thought, or emotion.

Feelings

Palm Springs Emotional HealingEmotions are the next primary distractor of the mind, especially when highly charged. Every person has had the experience of being so angry, hurt, or upset that they could not think straight. Their minds went on overdrive, and they could not stop thinking about what had gotten them riled up. Alternatively, every person can relate to being infatuated with someone, something, or some experience, such that their mind repeatedly loops back to their infatuation: they cannot stop thinking about it. Both are the consequence of an emotionally charged mind.

When the mind is highly charged, it is practically impossible to silence it. Unfortunately, this is the steady state for many people, as they spend most of their waking consciousness highly charged about one thing or another. When chronic or extreme, highly charged emotional states can lead to what we label as mental illness. Not only is an emotionally charged mind a distraction to quieting the mind, but overall, it is unhealthy for the individual.

The answer to neutralizing this state of mind is far too involved for this article, but a powerful tool for overcoming it is available. Anybody interested in learning how to dissolve their highly charged emotional states should contact me. In the meantime, one can get beyond their emotions in the same way they transcend their thoughts: by becoming aware of the emotionality, labeling it, and then letting it pass. Like thoughts, emotions can lead to a story being run through your mind. Your mind can then attach to it and follow along passively, or you can notice what is happening, label it with, “There is an emotion,” and then let it fade away. The great sage, Sri Ramana Maharshi advised, “Let what comes come. Let what goes go. Find out what remains.” You may find that what remains is more real than transient emotions.

Sleep

Palm Springs Sleep HealingClosely associated with, yet opposite to, sensation is sleep: the complete loss of awareness of our senses. While sensations themselves are still up and running, our conscious awareness of them is not. Unless we become uncomfortable, we will remain unconscious of the outer world (not true while dreaming).

When attempting to shut down the mind and enter silence, the unconscious mind will work hard to regain control and it will do so through the common distractions: sensation, thought, and emotion. If the focus of the practitioner is too strong for the unconscious to overcome, then it will often go to its big gun and try to shut the consciousness down completely and send the practitioner into slumber.

This is by far the most difficult distraction for the conscious mind to overcome, but with practice, it can be done. The first thing to note is that if you are lacking sleep, it will be incredibly difficult to keep from dozing off. In those moments, it is best to just stop your practice and take a quick catnap. Even fifteen minutes can recharge you and allow the mind-quieting to happen.

The second point to note is that if you are not particularly tired, your mind is instigating the drowsiness. Just the act of becoming aware is sometimes enough to overcome sleepiness. Along with a conscious effort to focus on an object (or mantra), by withdrawing the senses, you can submerge into a true meditative state.

Sleep is a last-resort effort by your unconscious mind to take control of its function. If you can overcome that, you are on your way to laser-focus awareness and, ultimately, to meditation and what the yogis call samadhi.

Quieting Exercise

I would like to share a simple quieting exercise that you can do anywhere and at any time.

Palm Springs MeditationBegin by sitting quietly on the floor or straight up in a chair. If seated in a chair, make sure your feet are flat on the floor. Have your hands folded in your lap, or palms face up on your thighs. Your chest should be up, chin straight, and eyes closed. Focus on your breath. Abdominal breathing is ideal (and if you do not know how, watch the video below). You want the breath to reach a deep, long, rhythmic pattern.

You should count your breaths up to five at first, inhaling and exhaling for one full breath. After five breaths, return to one – that is a round. Do two to five rounds. It will allow your mind to focus and not fall into passive automation. Once you feel confident that focus has been established, put your attention to your jaw – relax it; let the tongue drop away from the palate. Relax the corners of the mouth and let them drop toward the jaw. Then bring your attention to your cheekbones – let them melt downward toward your earlobes. This will release tension in your inner ear. Finally, bring your attention to the bridge of your nose. Imagine a dark, warm hole at the bridge sinking into the cranium toward the brain. These exercises are elements of pratyahara or sensory withdrawal. You can also pay attention to your hearing. Concentrate on an audible sound; within time, the auditory system will tire, and the attention will shift inward. This is Pratyahara.

Once you have reached a satisfactory state of sensory withdrawal, then just observe; invariably you will begin to become aware of physical sensations. Maybe a hair clings perceptibly to your forehead, or perhaps you feel tension in your neck and shoulders; whatever the case may be, simply become aware of the sensation and it will lessen the impact of the distraction. Feel free to scratch an itch or brush your hair off your forehead – no need to be uncomfortable – but then label the sensation by saying quietly in your mind, “There is an itch,” or, “There is back pain,” and so on. And then return the focus to the breath. The simple acts of attaining awareness, labeling distractions, and letting them go removes the distraction from your mind’s attention.

You might also have incoming thoughts about your day, particular events, or even people. Here again, without judgment on the thoughts, simply label them by saying quietly in your mind, “There is a thought about…” And then let it go.

The thought that comes may have a strong emotion tied to it, or you may even have the feeling of an emotion without an associated thought. Whether a conscious or unconscious emotion, label it, and then let it go. You do not have to understand the emotion in the moment; you certainly do not have to resolve any conflicts in the moment. No need to judge yourself or the emotion – simply become aware of its presence, label it, and then let it fade away. Bring your attention back to the breath.

Continue this exercise of withdrawing the senses, bringing awareness to and labeling distractors, and letting them go, and you have a powerful beginning exercise to quieting the mind at your disposal.

There is more you can do to reach the deeper states of meditation, but I will leave this for another article altogether. Practice the simple exercise I have outlined here to kick-start your mind-quieting practice. If you have an interest in learning the deeper secrets to a profound meditation or mindfulness practice, then please contact me. But this tool for reaching greater states of silence through pratyahara will get you far if you practice diligently. I trust you will have enormous success in your endeavors.

Quiet the Mind - Dr. Nick CamposQuieting the mind is thought by many to be the goal of meditation, but what does it mean exactly? And what can we expect from quieting the mind; what will result? Can we make the mind completely quiet – that is, can we actually attain thoughtlessness (a state of no mind)? These are some of the questions that people have when contemplating whether or not to take on a meditation practice.

To quiet the mind is to suspend active thought. The more one can achieve this state, the more one can allow the undirected, intuitive mind to guide them. The yogis call it “living spontaneously,” and along with it come many benefits, from physical to mental to spiritual. Some of these effects can be achieved immediately, while others develop over years. The immediately realized benefits will bring a sense of accomplishment for your efforts, while the more deeply cultivated effects will bring you a deep satisfaction. Not only will you realize the immediate consequences from the benefits themselves, but you will also literally shape your body, mind, and spirit simultaneously to stimulate enhanced genetic expression, psychological expansion, and spiritual development.

What are some of the benefits you can realize by quieting the mind, and what are the obstacles or challenges people face when trying to do so, and how might they overcome them? I will attempt to answer these questions here, as well as give you a sample exercise which you can use right away to practice quieting the mind and enhance your body, mind, and spirit in the process.

What is quieting the mind?

To understand quieting the mind, it is important to understand what happens in the mind that would require quieting. I have described the autonomic system of the body and brain in this article on mindfulness, so I won’t go into detail here. But what I will address is how the mind, in its automaticity, can go into self-referential and mind-wandering loops.

Self-referential thinking refers to a mental process in which individuals focus on themselves, their experiences, beliefs, and feelings. It involves thinking about one’s own identity, self-image, and personal relevance. This type of thinking can include introspection, self-analysis, and self-consciousness. For example, when you reflect on past experiences, contemplate your goals, or evaluate your emotions, you are engaging in self-referential thinking.

Quiet the Mind - Dr. Nick CamposMind-wandering, on the other hand, refers to the spontaneous and involuntary shifting of attention from the current task or external stimuli to internal thoughts and mental scenarios. During mind-wandering (daydreaming is one type), the mind tends to drift away from the present moment and becomes immersed in unrelated thoughts, memories, fantasies, or plans. This phenomenon is common and can happen during various activities, such as work, studying, or even conversations.

Both self-referential thinking and mind-wandering can be natural and occur in everyone’s mind. However, excessive engagement in these thought processes can lead to distraction, decreased focus, and a lack of mindfulness. In extreme cases, they can lead to mental disorders such as depression, obsessive-compulsive disorder (OCD), and social anxiety.

In depression, individuals may engage in rumination, which is a form of repetitive and negative self-referential thinking. They may excessively dwell on past failures, mistakes, or negative events, leading to a downward spiral of negative emotions and feelings of hopelessness. Numerous studies show a reciprocally reinforcing relationship between rumination and negative affect. Rumination tends to increase when negative emotions increase. In depressive patients, levels of rumination have been associated with the severity and duration of depressive episodes. In other words, the more depressed a person, the more they focus on how bad things are. And vice versa, increased levels of rumination have been found to increase the risk of depressive relapse in remitted patients.

In OCD, intrusive, distressing thoughts (along with repetitive behaviors) may be self-referential, leading to obsessive questioning or doubts about oneself or one’s actions. And in social anxiety, individuals may experience self-referential thinking focused on how others perceive them. They may constantly worry about being judged or criticized by others, leading to avoidance of social situations. It is important to note that self-referential thinking, like its subcategory rumination, can act reciprocally with OCD and social anxiety whereby it is both a consequence and precursor to these conditions.

To quiet the mind, then, one needs to alleviate the constant stream of thoughts and mental chatter that can lead to self-referential thinking, rumination, mind-wandering, and emotional turbulence. The mind can often become occupied with worries, anxieties, regrets, and various other thoughts about the past and the future, which can prevent one from being fully present in the current moment. Quieting the mind involves calming this inner noise and achieving a state of stillness and focus. Practices like meditation and mindfulness play a crucial role in achieving this state of mental quietude.

The Neurological Basis for Quieting the Mind

Is quieting the mind neurologically possible? Can we actually see evidence of our minds slowing down and going quiet? What happens in our brains as we increase focus and our ability to diminish the chatter? Quietening the mind is indeed neurologically plausible, supported by scientific research on the effects of meditation. Numerous studies have demonstrated that meditation can lead to observable changes in brain activity and structure, promoting a state of mental calmness and reduced cognitive chatter.

Quiet the Mind - Dr. Nick Campos

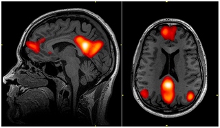
A study published in the journal Cognitive, Affective, & Behavioral Neuroscience found that long-term meditation practitioners exhibited decreased activity in the default mode network (DMN), the network of brain regions associated with mind-wandering and self-referential thinking. Excessive activity in the DMN is associated with a noisy (mind-chatter) and restless mind. Researchers note that the DMN has been found to be most highly active when individuals are left to think to themselves undisturbed or during tasks involving self-related processing, and less active during tasks requiring cognitive effort. Experienced meditators thus exhibit decreased DMN activity during meditation (and even during resting states), as a result of their conditioned focus, demonstrating a reduced tendency self-referential thinking and mind wandering.

Quieting the mind through mindfulness and meditation has also been shown to impact the brain’s neuroplasticity, the ability of the nervous system to change its activity in response to intrinsic or extrinsic stimuli by reorganizing its structure, functions, or connections. Studies on meditation have shown that regular practice can enhance cortical thickness and increase gray matter density in brain regions involved in attention, interoception (the ability to sense your body’s internal environment), and sensory processing, leading to enhanced cognition, memory capacity, and general intelligence.

More gray matter is associated with better cognitive function, while decreases in gray matter are associated with Alzheimer’s disease and other related dementias”

The Physical, Mental, and Spiritual Benefits of Quieting the Mind

So why should anybody care about quieting the mind? Other than some esoteric practice, what can quieting the mind do for the average person? The answer is: A lot! Quieting the mind has numerous physical, mental, and spiritual benefits available to any person who takes the time to cultivate a practice which leads to the state.

Physical Benefits

Anybody who has delved into the mind-body question knows that the two are inextricably linked. In other words, you cannot separate the mind and body into independent parts. Stress one and the other feels the ramifications, strengthen one and the other strengthens too. The first place you will experience beneficial results is in your physiology. Quieting the mind has been shown to reduce blood pressure, heart rate and symptoms of stress disorder. It does this by activating the relaxation response. Sympathetic nervous system activity (the “fight or flight” response) decreases and parasympathetic nervous system activity (the “rest and digest” response) increases. This shift promotes a state of calm and relaxation.

Quiet the Mind - Dr. Nick CamposQuieting the mind also helps reduce stress hormone levels, like cortisol and adrenaline, which are associated with the body’s stress response. It increases vasodilation, a widening of the blood vessels, which helps facilitate better blood flow, leading to lower blood pressure. It improves heart rate variability (HRV), a measure of the variation in time between successive heartbeats. Higher HRV is associated with better cardiovascular health and increased adaptability to stress. Quieting the mind has been linked to improved HRV, indicating a healthier balance between sympathetic and parasympathetic nervous system activity. And finally, it helps reduce muscle tension, a byproduct of an increased fight or flight state. The more one operates in sympathetic stress, the greater the muscle tension. Quieting the mind, however, promotes muscle relaxation.

Mental benefits

As goes the body, so goes the mind, and practices which quiet the mind have a multitude of mental benefits. Not only do the physical ramifications of stress diminish when the mind is quiet, but the mental ones do as well. By reducing the psychological effects of stress, we see anxiety diminish. A 2022 study compared patients who took an intensive eight-week mindfulness meditation program to patients who took escitalopram, the generic name of the widely-prescribed anxiety drug Lexapro. They found that both interventions worked equally well in reducing debilitating anxiety symptoms.

Quiet the Mind - Dr. Nick CamposQuieting the mind improves mental clarity and focus, as well. When the mind is less cluttered with mind-chatter, it is less prone to self-referential thinking and mind wandering, and thus it becomes easier to concentrate on tasks, make decisions, and engage in activities with heightened attention and presence. Clearing mental clutter enhances productivity, learning, and overall cognitive performance.

Quieting the mind also creates a fertile ground for creativity to flourish. When the mind is calm and free from distractions, it becomes more receptive to new ideas, insights, and innovative thinking (see this article on the Noosphere). By accessing deeper levels of awareness and tapping into your innate creativity, you increase your potential to experience inspiration and novel perspectives.

And finally, although not exhaustively (there is much more), quieting the mind fosters emotional well-being. By cultivating self-awareness and emotional regulation, it enables individuals to observe their thoughts and emotions, label them, and come to understand them more deeply, and ultimately to lead to better emotional resilience.

Spiritual benefits

While not everybody attunes to the spiritual realm, the physical and mental benefits of quieting the mind may be enough; but for those who do seek a greater spiritual awakening, quieting the mind is perhaps the clearest path toward realization. Similar to the physical and mental benefits, the following spiritual enhancements of quieting the mind are by no means a complete list, but they should be encouraging enough for those wishing to cultivate a mind-quieting practice to begin and adhere to a routine.

Quieting the mind creates a conducive environment for heightened Self-awareness and insight. As mental chatter subsides, individuals form a deeper connection to their inner selves, their intuition, and their spiritual essence. This increased awareness will lead to profound realizations about the nature of existence, life’s purpose, and interconnectedness of all things. Quieting the mind is the precursor to the awakening of unconditional love – the “thank you for all that is, as it is” state of awareness.

Quieting the mind also involves moving beyond the ego – the self-centered, identity-driven aspect of our consciousness, or what we call the “I”. By quieting the mind, individuals can detach from the incessant stream of self-referential thoughts, leading to a sense of liberation from egoic patterns. This transcendence of ego can open the door to experiencing a greater sense of unity, oneness, and humility (we are all the same in essence).

Quiet the Mind - Dr. Nick Campos

Finally, quieting the mind can facilitate a deeper connection to the divine higher self. As the mind becomes still, the channel to our higher mind expands, allowing transmissions of communication between higher (soul intelligence) and lower (neurological intelligence) mind. As a result of this expansion, individuals may experience moments of profound clarity, inspiration, and communion with higher spiritual reality (approximating the highest high). This can lead to a sense of divine guidance and attunement to one’s ultimate purpose in life (dharma).

So, should you take the time to cultivate a quiet mind? If you have aspirations to maximize your physical, mental, and spiritual well-being, then absolutely – it is more than worth the investment. What will it take to attain the ability to quiet the mind? What is a simple beginners exercise to kick-start your mind-quieting regimen? How will I know if I am doing it well? I will answer all these questions in part two of this article coming soon.

Copyright © 2013 Dr. Nick Campos - All Rights Reserved.